SAÚDE PÚBLICA: 'Isso é um descaso', diz pai de jovem internado no Hospital de Base

Pedro Korilo, pai de Clerio, visitou a redação do Rondoniaovivo nesta quarta (11); eles são do Amazonas e aguardam há 71 dias por uma cirurgia

SAÚDE PÚBLICA: 'Isso é um descaso', diz pai de jovem internado no Hospital de Base

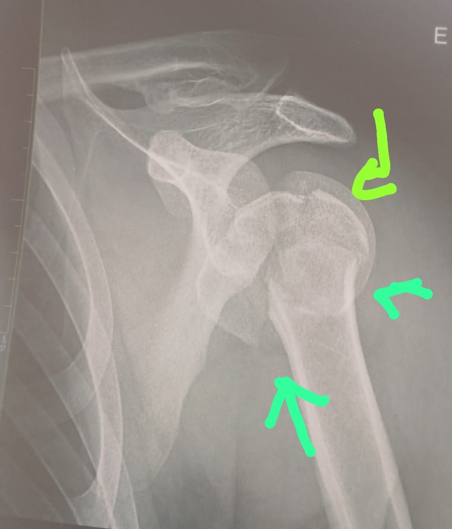
Foto: Raio-X da fratura do ombro de Clerio - Acervo da família

Receba todas as notícias gratuitamente no WhatsApp do Rondoniaovivo.com.​

  • Reação
  • Reação
  • Reação
  • Reação
  • Reação
  • Reação
12 pessoas reagiram a isso.
“Eu pago todos os meus impostos. Contribuo igual a todo mundo. Quando a gente precisa do governo, ele não aparece”, disse Pedro Korilo para a reportagem do Rondoniaovivo nesta quarta-feira (11). Em visita à redação, o cidadão amazonense se queixou de um problema que todos os rondonienses bem conhecem: a demora do serviço público de saúde.
 
Clerio Korilo, filho de Pedro, está há 71 dias perdido dentro do sistema de saúde. Naturais de Lábrea (AM), município localizado a cerca de 200 km de Porto Velho (RO), eles chegaram a Rondônia no dia 27 de novembro e aguardam por um tratamento cirúrgico. “Ele [Clerio] foi atendido inicialmente no João Paulo II, depois transferido para o Regina Pacis e agora está no Hospital de Base”, explica Pedro.
 
O jovem de 28 anos precisa realizar com urgência uma “osteossíntese de fratura de úmero proximal”, de acordo com os documentos médicos disponibilizados por Pedro para a reportagem. A cirurgia serve para realinhar e fixar fragmentos ósseos no ombro. Por causa da demora, eles entraram com um processo na Justiça.
 
“Parece que eles enrolam a gente. Abriram uma licitação para comprar o material para a cirurgia, mas disseram que nenhuma empresa se manifestou. Pediram até para que eu procurasse orçamento”, continuou o pai. O procedimento, na rede particular, foi avaliado em pelo menos R$ 137.800,00 — incluindo honorários do cirurgião, insumos hospitalares e acompanhamento. Por causa da demora, Clerio precisa de uma prótese e pode, inclusive, perder o movimento do membro. 
 
O processo, protocolado no 1º Juizado Especial da Fazenda Pública de Porto Velho, determina que o governo realize o atendimento o quanto antes, sob pena de multa e de sequestro de verba pública. “Intime-se pessoalmente o secretário estadual de Saúde para comprovar o cumprimento da obrigação de fazer descrita na decisão no prazo improrrogável de cinco dias”, lê-se na decisão assinada pelo juiz Wanderley Jose Cardoso.
 
A reportagem tenta contato com a Secretaria de Estado da Saúde (Sesau), que não retornou até a publicação deste conteúdo. “Já estou ficando sem recursos, gastando com transporte, alimentação e estadia. Procurei vocês [do jornal] para ver se resolvo a situação. Não sei mais o que fazer”, concluiu Korilo.
Direito ao esquecimento

Os comentários são responsabilidades de seus autores via perfil do Facebook. Não reflete necessariamente a opinião do Rondoniaovivo.com
Você acha que o Brasil vai ser hexa nesta Copa do Mundo?

* O resultado da enquete não tem caráter científico, é apenas uma pesquisa de opinião pública!

MAIS NOTÍCIAS

Por Editoria

CLASSIFICADOS veja mais

EMPREGOS

PUBLICAÇÕES LEGAIS

DESTAQUES EMPRESARIAIS

EVENTOS