Um estudo conduzido por pesquisadores da Universidade de Cambridge, no Reino Unido, trouxe novas perspectivas sobre o desenvolvimento humano ao revelar que o cérebro passa por cinco fases distintas ao longo da vida, marcadas por transformações significativas aos 9, 32, 66 e 83 anos. A descoberta desafia a ideia tradicional de que a maturidade cerebral ocorre no fim da adolescência.
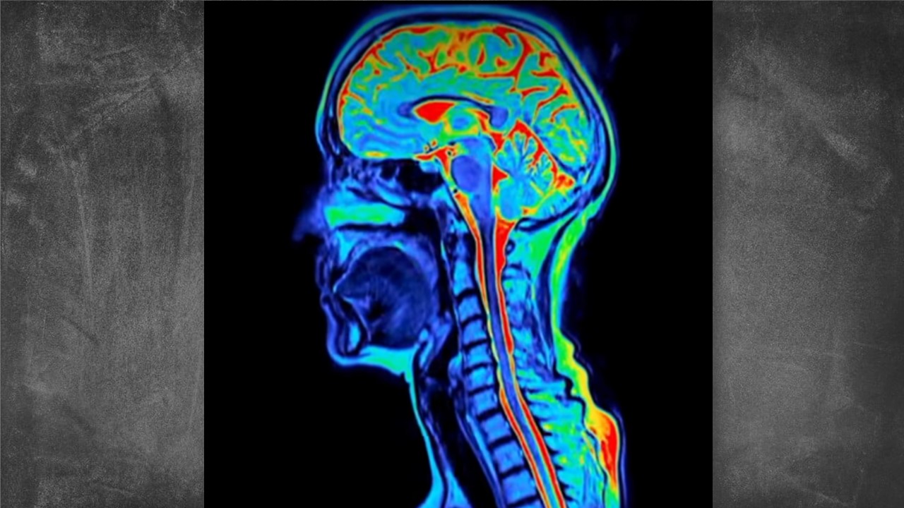
A pesquisa analisou exames cerebrais de cerca de 4 mil pessoas, com idades entre a infância e os 90 anos. O mapeamento das conexões neurais mostrou que o cérebro continua em uma espécie de “fase adolescente” até o início dos 30 anos período em que atinge seu desempenho máximo, segundo os cientistas.
As imagens revelaram que, até os 32 anos, há um fortalecimento constante das redes neurais responsáveis por raciocínio, tomada de decisão, regulação emocional e flexibilidade cognitiva. Só então o cérebro alcançaria seu “pico” de funcionamento, antes de iniciar ciclos naturais de reorganização nas décadas seguintes.
Os pesquisadores afirmam que compreender essas etapas ajuda a explicar por que o risco de transtornos mentais, como ansiedade e depressão, varia ao longo da vida, assim como a vulnerabilidade a doenças neurodegenerativas, incluindo diferentes formas de demência.
O estudo reforça que o cérebro é dinâmico e passa por remodelações contínuas muito além da adolescência tradicionalmente definida.